
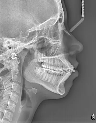
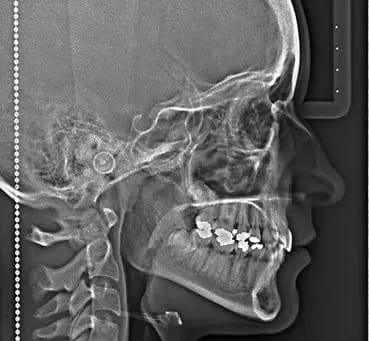
En Estudio Rx, ofrecemos el servicio de Radiografía Lateral de Cráneo, un estudio radiológico esencial en la evaluación de la estructura ósea y las relaciones anatómicas del cráneo y la mandíbula. Esta radiografía proporciona una imagen lateral del cráneo, permitiendo a los especialistas analizar con precisión las proporciones y alineaciones de los huesos faciales y dentales.
La Radiografía Lateral de Cráneo es fundamental en el diagnóstico y planificación de tratamientos de ortodoncia, cirugía maxilofacial, y en el seguimiento de problemas de crecimiento y desarrollo craneofacial. Esta técnica permite evaluar la posición de los dientes, la relación entre el maxilar y la mandíbula, y la estructura ósea del cráneo, proporcionando una visión completa que facilita un diagnóstico preciso y un tratamiento personalizado.
En Estudio Rx, utilizamos tecnología avanzada para asegurar que cada radiografía lateral de cráneo se realice con la mayor precisión y claridad posible, minimizando la exposición a radiación y maximizando la calidad de las imágenes obtenidas. Nuestro equipo de profesionales está capacitado para guiarte en cada paso del proceso, asegurando una experiencia cómoda y segura.

Confía en Estudio Rx para tus necesidades de radiografía lateral de cráneo, y recibe un diagnóstico certero que apoyará un tratamiento exitoso y personalizado. ¡Estamos comprometidos con tu salud y bienestar!