En Estudio Rx, ofrecemos servicios de Radiografía Periapical Análoga tanto parcial como completa, diseñados para proporcionar una visión detallada de áreas específicas de tu cavidad bucal. Estas radiografías son fundamentales para identificar problemas en los dientes, raíces, y huesos circundantes, enfocándose en áreas precisas para un diagnóstico efectivo.
La Radiografía Periapical Parcial Análoga es ideal cuando se necesita evaluar uno o varios dientes específicos, permitiendo a tu odontólogo observar con claridad las raíces de los dientes, el hueso que los rodea, y detectar cualquier posible infección o daño. Es particularmente útil en diagnósticos de caries profundas, abscesos, quistes, y enfermedades periodontales.

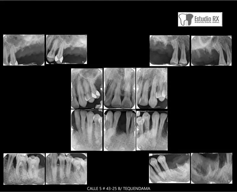
Por otro lado, la Radiografía Periapical Completa Análoga ofrece una visión integral de toda la boca, capturando imágenes detalladas de todas las áreas dentales y óseas. Este enfoque es esencial cuando se requiere un análisis exhaustivo de la salud bucal, cubriendo todos los dientes y sus estructuras de soporte.
En Estudio Rx, utilizamos tecnología análoga de alta calidad para asegurar imágenes nítidas y precisas, imprescindibles para un diagnóstico adecuado. Nuestro equipo de profesionales está dedicado a ofrecerte una atención personalizada y eficiente, garantizando que cada radiografía se tome con la máxima precisión y comodidad.
Confía en Estudio Rx para tus radiografías periapicales y asegúrate de que tu odontólogo cuente con la información necesaria para brindarte un tratamiento efectivo y personalizado. ¡Tu salud bucal es nuestra prioridad!
