
En Estudio Rx, ofrecemos servicios de Fotografía Intraoral y Extraoral, esenciales para el diagnóstico y planificación de tratamientos dentales y estéticos. Estas fotografías permiten a tu odontólogo o especialista obtener imágenes detalladas de tu boca y rostro, facilitando una evaluación precisa y un seguimiento exhaustivo del progreso de tu tratamiento.
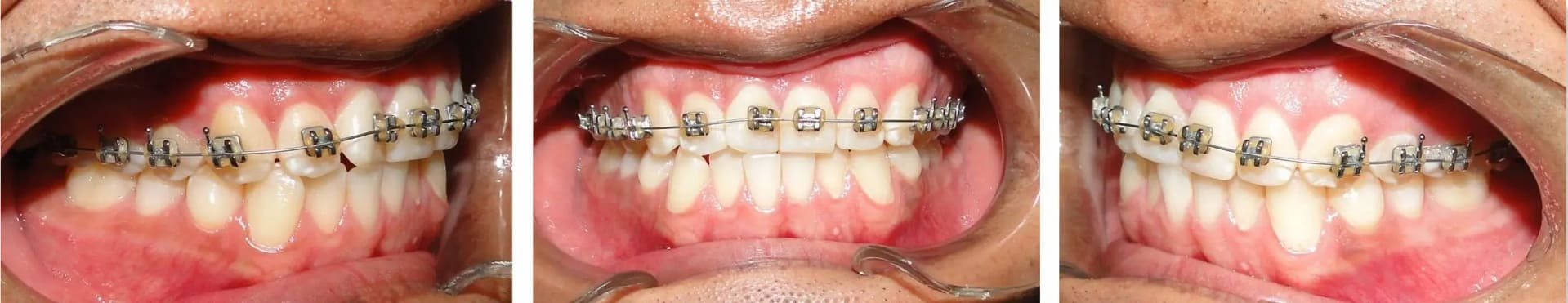
La Fotografía Intraoral se realiza dentro de la boca, capturando imágenes de alta resolución de tus dientes, encías, y otras estructuras internas. Esta técnica es crucial para documentar el estado inicial de tu salud bucal, identificar problemas como caries, enfermedades periodontales, o fracturas dentales, y planificar procedimientos como ortodoncia, implantes, o restauraciones.


Por otro lado, la Fotografía Extraoral se realiza fuera de la boca y se enfoca en capturar la estética y simetría del rostro, así como la relación entre los dientes y las estructuras faciales. Esta técnica es especialmente útil en tratamientos de ortodoncia, cirugía maxilofacial, y diseño de sonrisa, ya que permite evaluar cómo los cambios dentales afectarán la apariencia general del paciente.
Nuestro equipo de expertos se asegura de que cada fotografía se tome con el máximo cuidado, garantizando que todos los detalles importantes sean capturados para un diagnóstico y planificación óptimos.
Confía en Estudio Rx para tus fotografías intraorales y extraorales, y asegura un diagnóstico preciso que te permitirá alcanzar los mejores resultados en tu tratamiento dental o estético. ¡Estamos aquí para ayudarte a lucir tu mejor sonrisa!
